Streamlining new patient exam visits with the iTero Lumina™ intraoral scanner - implications for diagnostics, treatment planning, patient care, and profitability.

Dr. Itani is a Diplomate of the American Board of Orthodontics practicing at Northern Virginia Orthodontics.
As an Align Technology faculty, she educates residents and orthodontists on Invisalign® aligners, iTero™ intraoral scanners, and digital technology’s applicability in her clinical practice. She has been named “Top Dentist” by Washingtonian Magazine, the “Best of Virginia” by Virginia Living, “The Face of Orthodontics” by Washingtonian Magazine, and “The Best of Ashburn” by Ashburn Magazine. Dr. Itani’s influence extends beyond her practice. She is a respected speaker and educator for Smile Doctors, the largest orthodontic organization in the U.S., further solidifying her position as a thought leader in the field. She completed her Doctor of Dental Surgery degree with honors, her orthodontic certificate, and her Master of Science at the University of Maryland. Dr. Itani grew up in Erie, Pennsylvania, with her parents, three younger brothers, and the family dog.
Across our seven locations, our practice conducts hundreds of follow-up visits and a few dozen new patient exams daily.
In 2023 alone, we started over 2,000 new Invisalign® clear aligner cases. With this high patient volume, efficiency is key. But efficiently obtaining high-quality orthodontic records can be challenging when using different systems that don’t interact with each other and when working with operators with diverse skill sets and expertise. In addition, patients’ ability to tolerate cheek retractors and intraoral mirrors can vary, affecting the quality of records obtained. Despite the challenges, we strive to consistently obtain excellent orthodontic records, as these are essential in diagnosis, treatment planning, and patient communication and education.
When we first purchased the iTero Element™ 5D Plus imaging system in our clinics, we sought ways to streamline our new patient exams and follow-up visits. This imaging system offered high-quality images and the auto-upload feature, which automatically uploaded intraoral photos generated by the scan when submitting Invisalign® cases. For a few months, we tried eliminating the taking of intraoral photos with our digital single lens reflex (DSLR) cameras and only utilized photos generated from the iTero scan. While I appreciated the simplified system, I found that the quality of the intraoral photos could be improved. As a result, we went back to our old process of capturing intraoral photographs with a DSLR camera.
For the past few months, our offices have had access to one of Align Technology Inc.’s latest innovation, the iTero Lumina™ intraoral scanner.
Since implementing the iTero Lumina™ intraoral scanner, we have changed our new patient workflows and have seen extensive benefits, including:
Enhanced aid in diagnosis and treatment planning
High-quality records are a must in our operations. Records help the clinician properly diagnose and are a powerful medium to communicate findings and educate the patient. When communicating only with words, it can be difficult for prospective patients to fully understand their malocclusion and treatment needs. Using high-quality images to actually show patients what the clinician is seeing significantly increases patient understanding.
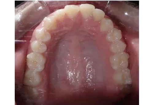
1. Capturing third molars and perpendicular occlusal views.
For example, our records technician obtained the image (Figure 1- left) with a DSLR camera from a patient transferring to our clinic who had already started treatment with Invisalign® aligners abroad. When you compare the image captured with the iTero Lumina™ intraoral scanner (Figure 1- right), you can identify a few differences.
Figure 1


First, the image captured with the DSLR camera is not perpendicular to the occlusal plane; the mirror is scratched, and there is a slight fogginess on the mirror. On the other hand, the image captured with the iTero Lumina™ scanner is crisp and perpendicular to the occlusal plane. This has implications in the diagnostic process when looking at the arch form and alignment. Secondly, the upper third molars are not visible in the image from the DSLR camera; in contrast, the image from the scan shows the third molars and as far as the prominence of the maxillary tuberosity.
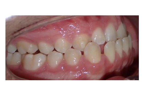
From the sagittal view, the intraoral photo captured with the DSLR camera (Figure 2 – left) is of good quality. However, you can only see as far as the mesial cusps of the second molars; the third molars aren’t visible at all. With the iTero Lumina™ scanner image (Figure 2 – right), you can see all molars in occlusion, as well as the palate’s shape and height. Furthermore, for the scan images, you do not have to retract the cheeks to obtain a complete view with a perpendicular angle. This leads to better diagnostic records in addition to a more comfortable patient experience.
Figure 2


2. Achieving the best angles when working with children and potential effect on treatment of choice.
Obtaining high-quality records on young pediatric patients can be difficult for both the technician and the patient. For example, Figure 3 shows the images from a new-patient exam of a 9-year-old patient with a more petite mouth. The left images are the photos my technician captured with the DSLR camera; the right images are the photos from the Lumina™ scanner. Comparing the two sets of images, there are notable differences.

Figure 3
From the frontal view, the left side is not visible beyond the upper primary canine. It is difficult to see what teeth are present or missing, and most clinicians could not confidently determine if there are transverse issues present. When assessing the intraoral image generated by the scanner, one can see all of the teeth and can observe the palatal inclination of the posterior crowns bilaterally. But most importantly, it can be clearly seen that there is no posterior crossbite. This is also confirmed via the sagittal view of the scanner image, which provides a more accurate display of the current occlusion. Moreover, the sagittal view from the scan shows a significant overjet, which is not as evident in the image obtained from the DSLR camera.

Figure 4
Upon initial examination of only the images from the DSLR camera, I would have suggested using a traditional expander or the new Invisalign® Palatal Expander to widen the palate. However, after carefully reviewing the scan and noting no posterior crossbite, I only recommended treatment with Invisalign First™ clear aligners. Thus, having high-quality and accurate records is crucial for the clinician’s diagnostic process. It also improves the patient’s quality of life by avoiding the need for a palatal expander and results in financial savings and time benefits for the patients and their families (Figure 4).
Elevated patient comfort and engagement
The iTero Lumina™ wand’s smaller size and weight are beneficial for all patients, especially those with smaller mouths. For example, Figure 5 shows the scan images for an 8-year-old female patient who I recently saw for a new-patient consultation. This patient had negative experiences in dental care settings in the past but had no trouble during the exam procedures in our office. The wand is about the size of an electric toothbrush, making it familiar and less intimidating for this timid patient.

Figure 5
The patient cooperated very well and was comfortable throughout the scan. Additionally, our technician was able to scan her in about half the time it usually takes to scan other patients using the iTero™ Element Plus series scanners. The patient’s mother was impressed with her daughter’s cooperation and how quickly and efficiently the scan was completed. She was also grateful for how comfortable her daughter felt throughout the process. Furthermore, once we displayed the scans on our screen, she was amazed at the quality of the photos. She had never seen her daughter’s mouth that close and in detail (Figure 5). I used the scan to discuss some of the findings with the patient and her mother. While most people may understand the concept of crowding, many people will not understand the concept of a palatally-impinging deep bite. The scan photos and the iTero™ Occlusogram helped me not just explain but actually show why the patient needed treatment.
I showed the red markings on the anterior teeth and on the maxillary soft tissue (Figure 6 – left), and mom immediately recognized that this is not ideal. Both the patient and mom fully understood the need for treatment, especially when I zoomed in and showed a coronal view, in which they could see in detail how the lateral incisors occlude with the palate (Figure 6 - right). The tools and images captured the mother’s attention and helped her decide to start treatment that day. These images will also help the patient remain engaged throughout treatment with Invisalign® aligners, as she will understand how the treatment is benefiting her.
Figure 6


Practice efficiency and improved profitability.
The new iTero Lumina™ intraoral scanner has a field of view three times larger than the iTero Element™ 5D imaging system.2 Therefore, we can capture more surfaces at any given time and complete scanning much faster. This has implications for the patient and technician experience and significantly impacts operations’ efficiency and practice profitability
Across our offices, we complete an average of 70 scans daily. We conducted an internal exercise after using the iTero Lumina™ intraoral scanner for over four weeks. One day, the records technician scanned only with the iTero Element™ 5D Plus imaging system. On average, the scan time was about two minutes per scan. In contrast, when the records technician scanned with the iTero Lumina™ intraoral scanner, the scan average time was about one minute. Our practice can save, on average, 70 minutes a day by simply scanning with iTero Lumina™ scanners; annually, this translates into over 303 hours in time savings.
Furthermore, due to the high-quality of the iTero Lumina™ scan images, we can eliminate taking intraoral photos with DSLR cameras. On average, this saves us an additional two minutes per patient, translating into nearly 607 hours in annual time savings. Combining savings from reduced scan times plus savings from eliminating DSLR photos and instead leveraging the auto-upload feature for Invisalign® aligner case submissions, the average annual savings amounts to 910 hours. This time savings is the equivalent of having a staff working at 44 percent for one year.
Time savings from optimized workflows allow clinics the capacity to schedule more new patient exams and reduce any wait time prospective patients may have to endure. This improves patient experience and increases the likelihood that prospective patient will choose to do treatment in your clinic instead of an alternative practice. If your practice adds one additional treatment start per week, working 46 weeks a year, this could increase the practice’s annual revenue by about $250,0000 (Figure 7).

Figure 7
In addition to these quantifiable benefits, the time-savings from the iTero Lumina™ result in further advantages. For example, the ability to extend lunch or reduce working hours, or the ability to allot saved time towards more team-building activities or advanced staff training. Additionally, the improved efficiency translates into me and my team not feeling rushed or overwhelmed with the daily schedule. This is mentally and emotionally beneficial to us all.
Understanding how technology and simple adjustments in your workflows impact diagnostics, treatment planning, patient experience, and your overall practice operations is fundamental for practice success.
The opinions expressed in this publication are those of the author and may not reflect those of Align Technology, Inc. The authors were paid an honorarium by Align Technology, Inc. in connection with this publication.
Majority of surveyed Invisalign® trained doctors and their staff agreed that the iTero Lumina™ intraoral scanner enables faster and easier scans of children and teenagers.
”Over other iTero™ scanners in their respective clinics. Based on a survey in September 2023 of n=22 users who participated in a global limited market release, working with iTero Lumina™ intraoral scanner for an average period of 6 months, representing both Invisalign® trained general practitioners and orthodontists, and their staff in NA, EMEA and APAC, who were presented with a 4 point level of agreement scale from strongly agree to strongly disagree with the following statement: “The iTero Lumina™ intraoral scanner enables faster and easier scans of children and teenagers.”
2. The iTero Lumina™ intraoral scanner offers 3x larger field of view designed for more surface area capture enabling faster scanning.
Compared to the field of view of the iTero Element™ 5D imaging system, when the iTero Lumina™ intraoral scanner’s scanning distance is 12 mm.
Data on file at Align Technology, as of November 15, 2023