Implant in the aesthetic zone with the iTero-exocad Connector™ workflow
Authors:
Dr. Steven Glassman
New York City, New York, USA
David Lampert, MBA
Town & Country Dental Studios, New York, USA
Diagnostics
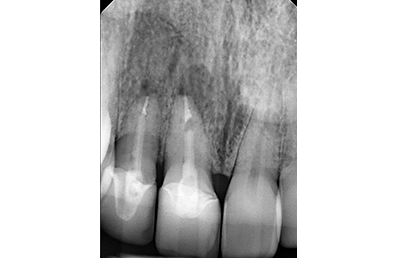
Chief Complaint: The patient presented with an upper right lateral incisor exhibiting mobility. Further examination revealed a history of endodontic treatment combined with root fracture.
Intraoral Assessment: Porcelain crowns were present on the upper right lateral and central incisors. The upper right central incisor displayed a root canal treatment, a periapical lesion, and a root fracture accompanied by discolored and inflamed gingiva. The lateral incisor had a periapical lesion deemed untreatable by the endodontist. The gingival papilla was receding between these teeth, manifesting as a visible black triangle.

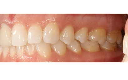
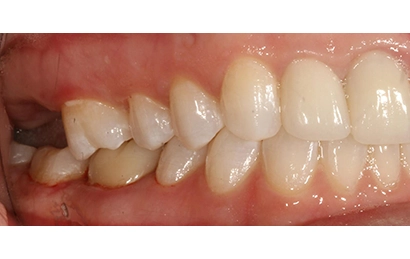
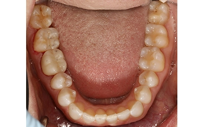
Intraoral pictures of the initial condition

Intraoral pictures of the initial condition

Intraoral pictures of the initial condition

Intraoral pictures of the initial condition

Intraoral pictures of the initial condition

Initial periapical radiograph
Treatment plan
Both upper right lateral and central incisors were identified as requiring extraction. After the extraction procedure, the patient was fitted with a provisional removable acrylic partial denture.
The patient opted for implant-based restorations to address the dental defect. However, due to inadequate bone thickness, it was only possible to place an implant in the position of the central incisor. Prior to implant placement, bone augmentation was necessary. After healing, a two-unit bridge would be fabricated to replace the extracted teeth with a lateral incisor as a cantilever.

My integrated iTero-exocad Connector™ workflow
Dr. Glassman: for aesthetic cases like this one, I usually request my lab to create a digital wax-up and share it via exocad™ DentalCAD webview. I evaluate the design and let them know my corrections to ensure we get the best result possible.
The new iTero-exocad Connector™ came at the prosthetic stage of the treatment, and it immediately made my life easier. Instead of multiple communication channels with my dental lab technicians, we now have one platform where you can share everything: scans, pictures, X-rays, etc.
In the past, we encountered challenges, particularly in implant cases, where there was a lack of alignment between the laboratory, the surgeon, and the general practitioner. Often, these complications arose from an absence of comprehensive facial and prosthetic planning. With the ability to attach images to the iTero™ Rx form, we can discuss the plan with the lab immediately when they receive it. This allows for a holistic view of the treatment plan, enhancing the likelihood of successful outcomes.
Treatment sequence
Appointment #1: Consultation appointment
Upper right lateral incisor exhibited mobility; the post and crown dislodged during the examination. An iTero™ and CBCT scans were taken, and the patient was referred to an oral surgeon for an implant consultation.
Appointment #2: Tooth extraction and bone grafting appointment
Both lateral and central incisors were extracted. Bone grafting was performed simultaneously. The patient received a removable provisional denture and was scheduled for a follow-up in 3 months.
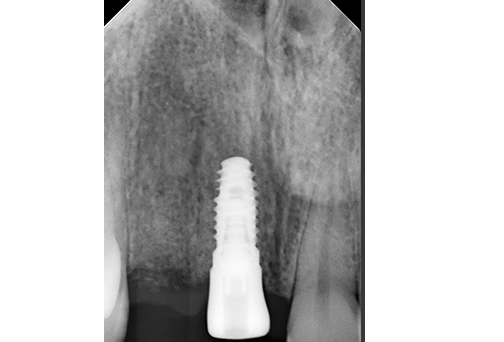
Appointment #3: Implant placement appointment

iTero scan taken immediately after implant placement.

Clinically made custom abutment
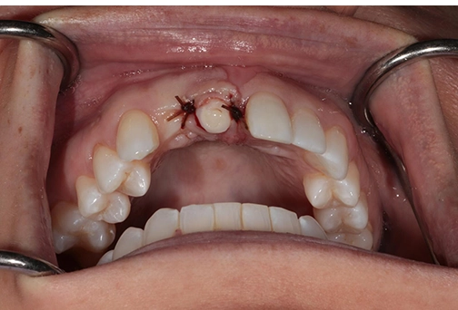
Appointment #4: Custom healing abutment placement appointment
The existing healing abutment was removed, and a lab-designed custom healing abutment was installed. It allowed us to shape the emergence profile and ensure the best gingival aesthetics.

Lab-designed custom abutment

Abutment seating confirmation
Appointment #5: Scanning for the final restoration
The custom healing abutment was removed, and an emergence profile was scanned with the iTero™ intraoral scanner. A subsequent scan with the scan body in place was conducted. Photos were taken, attached to the iTero™ Rx form, and sent to the lab.

Emergence profile scan

Scan body scan

iTero™ Rx form with the attached files
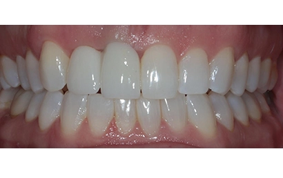
Appointment #6: Insertion of the final restoration
The fixed cantilever bridge was inserted, and seating was verified with a periapical X-ray. Torqued to 20 Ncm. Contacts were checked, and occlusion was adjusted. Final photographs and a scan were taken for the records.
Images were taken at the insertion appointment. Soft tissue healing remains ongoing.



Laboratory design process
Conclusion
A doctor's perspective: The iTero-exocad Connector™ streamlines the process of working with a dental lab, enhancing efficiency and saving time. The connector eliminates manual steps by directly linking the iTero™ intraoral scanner with the exocad™ DentalCAD software, reducing the risk of missing data. Additionally, the feature to attach images and case-related files to the iTero™ Rx form ensures that the lab receives all the necessary information at once, leading to more effective communication and better patient outcomes. Another advantage is immediate data transmission to the lab, allowing real-time feedback and adjustments while the patient remains in the chair. This eliminates the inconvenience of return visits for additional scans.
A dental technician's perspective: Having all case-related data imported automatically streamlines our workflow and saves time searching e-mails, photos, messengers, and the MyiTero™ portal to gather all case-related records. The ability to get information and easily communicate with the dentist through the exocad™ DentalCAD software offers better coordination and improved outcomes. The time we save by not having to communicate as much with dentists for clarifications or by not having to sift through various data sources allows us to focus more on craftsmanship and aesthetic precision. This enhances the quality of the final dental restorations and strengthens the collaboration between technicians and dental practitioners.

Dr. Steven Glassman is a pioneer in the use of iTero™ intraoral scanners and has made significant contributions to advancing digital workflows.
An esteemed graduate of both Brandeis University and Columbia University School of Dental Medicine, he currently practices alongside his wife in the prestigious Lincoln Center area of New York City. Dr. Glassman’s areas of specialization include Cosmetic Dentistry, Implant Therapy, and Aligner Treatment. In recognition of his expertise, he was appointed to the faculty of ZimVie in 2018 to develop digital workflows for aligners and implants further.

David Lampert, MBA, serves as the Vice President and Business Manager of Town & Country Dental Studios, a leading dental laboratory based in New York, USA.
Founded in 1962, the laboratory has seen remarkable growth over the past six decades and currently employs over 80 professionals. It provides services to hundreds of dentists nationwide. Town & Country Dental Studios has been at the forefront of dental technology, being one of the first labs in the United States to adopt zirconia materials and iTero™ intraoral scanners. Today, the laboratory operates with a fully digital workflow.
The opinions expressed in this clinical report are those of the author and may not reflect those of Align Technology. The author was paid an honorarium by Align Technology in connection with this clinical report.




