Clinical confidence through accuracy:
iTero Lumina™ intraoral scanner and the future of full-arch implant restorations.
Authors:
Dr. Karla Soto
Boca Raton, Florida U.S.
Dr. Ingo Baresel
Nuremberg, Germany
Dr. Raviv Zary
Global Clinical Director for iTero at Align Technology
In dentistry, accuracy isn’t just a buzzword, it’s the foundation of everything we do, from a single crown to a full-arch implant restoration. Local accuracy keeps margins tight to block out bacteria, while global accuracy ensures everything lines up across the mouth critical for bridges or full-arch implant cases. For all-on-X restorations, where rigid implants demand a passive fit (often defined as errors under 30µm on the Z-axis, 50µm on the XY-plane, and 0.4o angularly 1,2,3), precision is non-negotiable and can literally make or break the outcome.
Intraoral scanners (IOS) have transformed workflows, but global accuracy over long spans like those in all-on-X restorations remains a hurdle. This white paper examines the principles of accuracy in digital dentistry, explores the limitations of conventional IOS technology, and evaluates emerging solutions, including photogrammetry and novel approaches like the Multi-Direct Capture technology recently introduced in the iTero Lumina™ scanner.
The global accuracy puzzle
Intraoral scanners generate three-dimensional (3D) models by capturing and stitching thousands of small, overlapping images. Local accuracy shines when scanning adjacent structures with distinct anatomical landmarks. However, in full-arch implant scenarios, the distance between scan points grows, and featureless edentulous mucosa complicates image alignment, amplifying cumulative stitching errors.
A logical fix might be expanding the field of view (FOV) to reduce the number of images needed, cutting down on stitching errors. But conventional IOS systems use rear-mounted illumination, where the maximum FOV depends on the light beam’s cross-sectional area from the wand’s back to its front. Enlarging the FOV traditionally means a bigger wand, which compromises ergonomics and intraoral maneuverability - a trade-off rooted in the physics of light projection.
Photogrammetry: considered as the current gold standard
Some dentists sidestep this by turning to photogrammetry. Traditional photogrammetry uses a high-resolution extraoral camera to capture multiple overlapping images of scan pins attached to implants from a distance, reconstructing a precise 3D model by triangulating their positions with sophisticated software. Its accuracy often within 10-20µm comes from a wide field of view and minimal reliance on stitching, capturing implant locations directly with fewer distortion risks than intraoral scanning. It’s a multi-step process though: screw in scan pins, pull back soft tissues with retractors, snap pics with an extraoral camera then merge that with an IOS scan of the gums and teeth. It offers excellent accuracy required for passive-fit. The disadvantages of this method are the multiple steps resulting in extra chair time, discomfort for patients and the high cost of the equipment between the Photogrammetry scanner and the specific scan pins ($25,000 $40,000).

Figure 1
Figure 1: Illustration comparison between Confocal/structured light and iTero Multi-Direct Capture™ technologies.
Tweaking the target instead
Another method currently available is the integration of the special scan body pins to the intraoral scanning process. This helps the IOS to capture the implant position in a more accurate way without bringing superior accuracy to the scanner itself. Extended scan bodies stretch across implant gaps, giving the software more to latch onto. Adding markings to scan bodies enables a hybrid approach called “intraoral photogrammetry”. While the complexity is significantly reduced and the resulting accuracy seems to be increased, it still requires voluminous specific scan bodies, adding a few extra steps and causing discomfort for the patients.
A new technology to address accuracy: iTero Multi Direct Capture™ technology
In February 2024, Align Technology rolled out the iTero Lumina scanner with the iTero Multi-Direct Capture™ technology shaking up the game4,5. Unlike rear light sources, it packs six cameras and five projectors at the wand’s tip, firing blue and green lasers through a diffractive element to create a hexagonal pattern. Each spot is triangulated by multiple cameras, locking in precise coordinates. The result? A field of view of 21X15 mm at 0 mm that expands to 36X27 mm at 10mm6. Larger segments, less stitching, and a shot at better accuracy all with a 2x smaller wand compared to the previous iTero wand model5 (figure 1).
An in vitro study supported by Align Technology and published in the Journal of Dentistry put this to the test6, scanning a dental cast with four 8 mm metal spheres (think premolars and molars) using five IOS devices: two confocal scanners (Trios 5 and CS3800), two structured light scanners (i700 and AS260), and the MDC-powered Lumina. Following ANSI/ADA Standard 132, it measured six distances between sphere centers against a coordinate measuring machine baseline. The iTero Lumina scanner led for trueness (0.04% relative error vs. 0.071% 0.14% for others) and precision (0.032% vs. 0.073% 0.1%), with stats showing a clear edge (p < 0.01). Plane deviation how far spheres strayed from a flat plane ranged from 19µm for iTero Lumina to 33-120µm for the rest, though those differences were not statistically significant (p > 0.05).
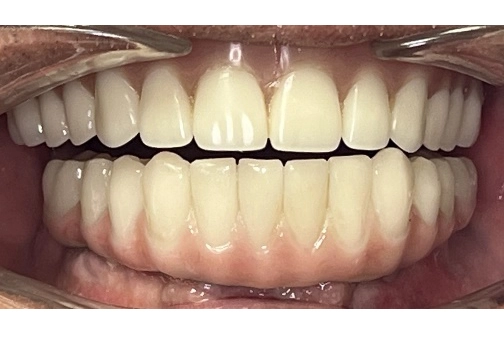
Another recently published case report in The International Journal of Prosthodontics highlights the precision of the iTero Lumina intraoral scanner in a full-arch mandibular implant rehabilitation, utilizing its innovative MDC technology. The article demonstrates the scanner’s ability to achieve accurate digital impressions, leading to passive prosthetic fit on the first attempt, while enhancing operator control and patient comfort. In this clinical report, the author highlights the iTero Lumina scanner’s potential to address challenges in complex implant cases, making it a valuable reference for advancements in digital dentistry accuracy7 (figure 2).
Figure 2: All on 6 case published by Dr. Soto.




What’s it all mean?
The data’s pretty telling, scanner technology matters. Multi Direct Capture’s larger field of view seems to pay off, trimming stitching errors and boosting consistency. The study showed iTero Lumina scanner nailing 99.6% of scans within acceptable limits, outpacing the others6. That could lead to fewer do-overs in the chair, saving time and hassle. Plus, it stayed consistent among the three operators, suggesting it’s not picky about who’s wielding it.
Wrapping up
Full-arch implant restorations demand top-notch global accuracy, and IOS technology is stepping up. Photogrammetry is a gold standard delivering high accuracy but is costly and cumbersome; extended scan bodies guiding the current IOS help but still need specific equipment and extra steps. The iTero Lumina™ scanner looks like a contender lab tests back it up with tight trueness and precision6. Still, it’s early days. More real-world studies are needed to see if it truly changes the game for implant workflows. For now, it’s a solid step toward making digital dentistry smoother and more reliable.

Dr. Karla Soto is a global speaker and award-winning clinician known for her expertise in digital dentistry and emotional patient care.
She serves as a KOL for DSD, Align, AACA, and VHF, and co-founded Smile Again, a nonprofit for survivors of domestic violence. Dr. Soto practices in Boca Raton, Florida in the United States and is a Kois Graduate and AACD member.

Dr. Ingo Baresel is a leading expert in digital dentistry and restorative workflows with iTero
He founded the German Association of Intraoral Scanning (DGDOA) in 2014. An international speaker and educator, he shares his expertise through courses and publications. Based near Nuremberg in Germany, he remains dedicated to daily practice and advancing patient care.

Dr. Raviv Zary is the Global Clinical Director for iTero at Align Technology and a recognized expert in digital dentistry
With a D.M.D. from Tel Aviv University, he leads global medical affairs and clinical research initiatives, contributing to the advancement of dental technologies and digital workflows through his strategic leadership and international collaborations.
- ISO 20896-2:2023 Dentistry Digital impression devices Part 2: Methods for assessing accuracy for implanted devices.
- Abdelrehim, A., et al. (2024). Magnitude of misfit threshold in implant-supported restorations: A systematic review. The Journal of prosthetic dentistry, 132(3), 528 535.
- Utkunas, V. et al, (2023). EPA Consensus Project Paper: Accuracy of Photogrammetry Devices, Intraoral Scanners, and Conventional Techniques for the Full-Arch Implant Impressions: A Systematic Review Eur J Prosthodont Restor Dent. 2023 Jun 13.
- Align Technology website, Press Release, (2024) 1 3, Available at: https://investor.aligntech.com/news-releases/news-release-details/align-technology-announces-new-itero-lumina -intraoral-scanner. Accessed on February 19, 2025.
- D. Boschken, iTero Lumina scanner a new technology in intraoral scanners transforming practices and people’s smiles, White Paper (2024) 1-4. Available at: https://universadent.com/wp-content/uploads/2024/07/iTero-Lumina-whitepaper-Dr.-David-R.-Boschken.pdf. Accessed on February 19, 2025.
- Baresel I, Baresel J. Full arch accuracy of intraoral scanners with different acquisition technologies: An in vitro study. J Dent. 2025 May;156:105703.
- Soto K. Fixed Implant Rehabilitation for A Mandibular Edentulous Patient Using Innovative Multi-Direct Capturing Intraoral Scanning Technology: A Case Report. Int J Prosthodont. 2025 Apr 30;0(0):1-22.
The opinions expressed in this publication are those of the author and may not reflect those of Align Technology, Inc. The authors were paid an honorarium by Align Technology, Inc. in connection with this publication.